Goldimplantation bei Spondylose - Erfahrungen? (Schmerztherapie und Physiotherapie)
Diskutiere Goldimplantation bei Spondylose - Erfahrungen? (Schmerztherapie und Physiotherapie) im Erkrankungen von Skelett und Muskulatur Forum im Bereich Katzenkrankheiten; @Scherasade
Ich poste mal 'nen Link für mehr Informationen in Bezug auf Goldimplantate :)
https://ralfschweda.de/goldimplantation/
-
-
Goldimplantation bei Spondylose - Erfahrungen? (Schmerztherapie und Physiotherapie) Beitrag #421
-
Goldimplantation bei Spondylose - Erfahrungen? (Schmerztherapie und Physiotherapie)
-
-
Goldimplantation bei Spondylose - Erfahrungen? (Schmerztherapie und Physiotherapie) Beitrag #422
@Scherasade
Ich poste mal 'nen Link für mehr Informationen in Bezug auf Goldimplantate
https://ralfschweda.de/goldimplantation/
Der Arzt kommt aus meiner HeimatStadt.
Vor,...puh,... ca 30 Jahren hat er unseren Schäferhund operiert, da war die Methode noch als sehr kritisch angesehen, hat ihm aber noch 8 gute Jahre geschenkt!
Mittlerweile bin ich von ihm nicht mehr so angetan, das hat aber nichts mit seiner fachlichen Kompetenz zu tun.
-
-
Goldimplantation bei Spondylose - Erfahrungen? (Schmerztherapie und Physiotherapie) Beitrag #423
Mittlerweile bin ich von ihm nicht mehr so angetan
Schon vor 30 J. hast du sowas machn lassen mit gutem Ergebnis und das ist schön. Aber die Erfahrung kenn ich wenn sich Menschen nach so langen Jahren verändert haben und es irgwie nicht mehr passt...das ist schade.
-
-
Goldimplantation bei Spondylose - Erfahrungen? (Schmerztherapie und Physiotherapie) Beitrag #424
Mittlerweile bin ich von ihm nicht mehr so angetan, das hat aber nichts mit seiner fachlichen Kompetenz zu tun.
Ich finde ihn auch nicht unbedingt sympathisch.
Aber er hat uns damals zum richtigen Zeitpunkt Hoffnung geschenkt in Bezug auf unseren kleinen Holzbein-Mani

Gemeinsam mit ihm und der Physiotherapeutin hatten wir dann einen Plan ausgearbeitet, um Mani das Laufen zu ermöglichen

-
-
Goldimplantation bei Spondylose - Erfahrungen? (Schmerztherapie und Physiotherapie) Beitrag #425
Bei Ärzten, egal ob für Tiere oder Menschen, ist Kompetenz wichtiger als eine einnehmende Art, finde ich. Schließlich geht man wegen einer Krankheit hin, nicht weil man ihn heiraten möchte.

-
-
Goldimplantation bei Spondylose - Erfahrungen? (Schmerztherapie und Physiotherapie) Beitrag #426
Ja, aber wenn du vor so nen Kotzbrocken sitzt, vertraust du ihm auch nicht. (Aussage meines Jüngsten) Er sagte dann auch zu den Arzt " Sag mal hacks dich so mit mir zu reden? "
-
-
Goldimplantation bei Spondylose - Erfahrungen? (Schmerztherapie und Physiotherapie) Beitrag #427
Also für mich ist Einfühlungsvermögen das Wichtigste bei Ärzten. Wir hatten früher mal für den Rottweiler einen wirklich guten Tierarzt, aber sonst war er ein KO.....n , dem das nötige Feingefühl gefehlt hat wieso auch immer.....sowas geht einfach nicht.
-
-
Goldimplantation bei Spondylose - Erfahrungen? (Schmerztherapie und Physiotherapie) Beitrag #428
Für mich muss beides stimmen. Nur weil jemand kompetent ist, ist das kein Freifahrtschein,...^^
-
-
Goldimplantation bei Spondylose - Erfahrungen? (Schmerztherapie und Physiotherapie) Beitrag #429
Gemeinsam mit ihm und der Physiotherapeutin hatten wir dann einen Plan ausgearbeitet, um Mani das Laufen zu ermöglichen
Ich zitiere mich nochmal kurz selbst

Für uns war das Angebot der Physiotherapeutin damals ein Traum. Eine kostenlose Sprechstunde bei einem Orthopäden in ihrer Praxis (in Schleswig-Holstein) für Spezialfälle. Bei Team Schweda.
Mit Krümel waren wir auch nochmal bei ihm. Wir brauchten viele Meinungen in der Hoffnung auf gute Behandlungsansätze.bzw. auf überhaupt welche.
Als Haustierarzt steht er für uns hier oben ja gar nicht zur Debatte, ich würde ihn aber auch sicher nicht wählen, wenn.
-
-
Goldimplantation bei Spondylose - Erfahrungen? (Schmerztherapie und Physiotherapie) Beitrag #430
Wenn keine Kommunikation mit dem Arzt zustande kommt, weil dieser nicht zugänglich ist, fehlt etwas ganz Entscheidendes für eine gelungene Behandlung. Schließlich ergeben sich aus den Gesprächen noch Hinweise auf die evtl. vorliegende Erkrankung.
-
-
Goldimplantation bei Spondylose - Erfahrungen? (Schmerztherapie und Physiotherapie) Beitrag #431
Was meint ihr, wollen wir das mal auslagern? Wenn ja wohin?
Ist ja an sich schon ein interessantes Thema.
-
-
Goldimplantation bei Spondylose - Erfahrungen? (Schmerztherapie und Physiotherapie) Beitrag #432
-
-
Goldimplantation bei Spondylose - Erfahrungen? (Schmerztherapie und Physiotherapie) Beitrag #433
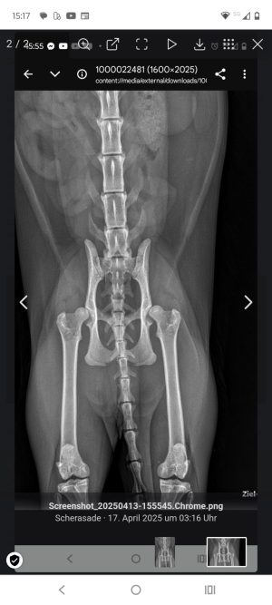
Das ist die Hüfte von Daria rechts schlechter als links. Wird auch als erstes die Seite operiert, hab wegen künstlichen Gelenk nur gutes gehört.
Wird bei ihr auch nicht mehr besser werden. Bekommt jetzt jeden Tag Schmerzmittel. Ist erst 3 Jahre alt und hat noch Muskeln.
Am 13.10 haben wir mit ihr in der Klinik erstmal ein Beratungsgespräch und dann wird überlegt wann und wie alles abläuft. Bin gespannt ob wir mit den 5000€ pro Hüfte richtig liegen.
Fremurskopfrasur kommt für uns nicht infrage. Zu unsicher die Aussichten auf Erfolg und im Alter Ahtrose. Haben unsere Tierärzte gleich abgeraten davon.
-
Screenshot_20250923-151755.Chrome.png
740,4 KB
· Aufrufe: 1
-
-
Goldimplantation bei Spondylose - Erfahrungen? (Schmerztherapie und Physiotherapie) Beitrag #434
Das ist die Hüfte von Daria rechts schlechter als links. Wird auch als erstes die Seite operiert, hab wegen künstlichen Gelenk nur gutes gehört.
Wird bei ihr auch nicht mehr besser werden. Bekommt jetzt jeden Tag Schmerzmittel. Ist erst 3 Jahre alt und hat noch Muskeln.
Bei einer dreijährigen Katze liegen ja auch noch viele Jahre vor ihr, in denen sie möglichst schmerzfrei leben soll. Ich drücke sehr die Daumen, dass die Hüft-OP gut gelingt und dass Daria dann keine Schmerzmittel mehr benötigt.

Thema:
Goldimplantation bei Spondylose - Erfahrungen? (Schmerztherapie und Physiotherapie)