Diskutiere Zahnproblem-Jammer-Fred im Erkrankungen im Kopfbereich Forum im Bereich Katzenkrankheiten; So ist es immer. Fairness gibt es wohl nicht in der Hinsicht
-
-
Zahnproblem-Jammer-Fred Beitrag #941
So ist es immer. Fairness gibt es wohl nicht in der Hinsicht
-
-
Zahnproblem-Jammer-Fred Beitrag #942
Ja...ich mach trotzdem so weiter auch mit dem barfen..einfach weil es sich *richtig anfühlt
Ich tu was ich kann.
Ich berichte wenn es bei mein Sera dann soweit ist.
-
-
Zahnproblem-Jammer-Fred Beitrag #943
Huhu,
Morgen ist es *endlich* soweit...um 11 Uhr fahren wir los in die Klinik.
Bin mal gespannt was übrig bleibt und ich bin schon seit aufstehen heute früh total aufgeregt/überdreht/ängstlich :-|
-
-
Zahnproblem-Jammer-Fred Beitrag #944
-
-
Zahnproblem-Jammer-Fred Beitrag #945
Dein Wort in Gottes Gehörgang :mrgreen:
mir ist schon richtig schlecht :-|...ich sollte auch mal ne Therapie machen glaube ich :lol:
-
-
Zahnproblem-Jammer-Fred Beitrag #946
Dein Wort in Gottes Gehörgang :mrgreen:
mir ist schon richtig schlecht :-|...ich sollte auch mal ne Therapie machen glaube ich :lol:
Dann müssten wir glaube ich alle mit in Therapie ;-)
-
-
Zahnproblem-Jammer-Fred Beitrag #947
Dann müssten wir glaube ich alle mit in Therapie ;-)
Gut möglich :mrgreen:
So...gerade abgegeben den Bub...hab natürlich geflennt :roll:
Wir können ihn 18 uhr wieder abholen und ich will mal schauen ob die mir die Röntgenbilder auf den Stick ziehen.
-
-
Zahnproblem-Jammer-Fred Beitrag #948
Bestimmt wird alles gut! Daumen sind auch hier gedrückt

-
-
Zahnproblem-Jammer-Fred Beitrag #949
Hier sind auch Daumen und Pfoten gedrückt. Ich bin auch eine Panik Dosi wenn irgendwas anders ist als sonst . Ganz schlimm war es für mich im Februar als meine Loona ihren Zahnsanierungstermin hatte. Alle die hier unterwegs sind lieben die Katzen und sind mehr als nervös. Es sind volle Familienmitglieder:lol:
-
-
Zahnproblem-Jammer-Fred Beitrag #950
Sind grad auf der Heimfahrt...17 Zähne musste er lassen...später mehr
-
-
Zahnproblem-Jammer-Fred Beitrag #951
Sind grad auf der Heimfahrt...17 Zähne musste er lassen...später mehr
Oha, das sind ja fast so viele wie bei meinen Jungs. Aber keine Sorge, das stecken die Fellpopos erstaunlich schnell und gut weg. Berichte bitte nachher, wie es ihm geht. Vermutlich wird er bis morgen erst mal schlafen.
-
-
Zahnproblem-Jammer-Fred Beitrag #952
Hi,
so...also, ähm ne....der läuft hier rum als wär nix gewesen! Nix schlafen....erstmal Revier abgehen...Schwänzle in der höhe :shock::-D
Dem gehts richtig gut...kein Blut spucken wie es bei Lea seinerzeit war...die hing echt viel schlimmer in den Seilen. Er schleckt sich nur ab und zu mal das Mäulchen.
Die Oberen Fangzähne sind weg

das war so sein Markenzeichen...Vampir...leider aber das konnte man schon mit blosem Auge sehen das die weg müssen.
Die unteren Fangzähne konnte er behalten und auch die Schneidezähne.
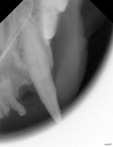
8 Röntgenaufnahmen wurden gemacht.
Heute Abend darf ich ihm schon ganz wenig zu futtern anbieten.
Das sind mal die Aufnahmen von den oberen 2 Fangzähnen und daneben nur noch stummel. Das ist so mal das schlimmste und man sieht wie weit die nach vorne getreten sind...die wurden immer länger :shock:
-
Sera 2.jpg
31,9 KB
· Aufrufe: 21
-
Sera 7.jpg
26,9 KB
· Aufrufe: 21
-
-
Zahnproblem-Jammer-Fred Beitrag #953
Ohje, ich hoffe er beißt sich mit den unteren Eckzähnen nicht selbst :-/
-
-
Zahnproblem-Jammer-Fred Beitrag #954
Gute Besserung dem kleinen Kämpfer. Lasse Knuddler da
-
-
Zahnproblem-Jammer-Fred Beitrag #955
Danke Euch!
Die haben da wohl noch nie schlechte Erfahrungen mit überbliebenen unteren Fangzähnen gemacht. Umgekehrt ist es wohl problematischer.
-
-
Zahnproblem-Jammer-Fred Beitrag #956
Danke Euch!
Die haben da wohl noch nie schlechte Erfahrungen mit überbliebenen unteren Fangzähnen gemacht. Umgekehrt ist es wohl problematischer.
Wir hier leider schon.
Ich drück die Daumen, dass alles gut klappt. Wenn nicht, dann müssen die halt auch noch raus, sie werden ja sowieso kommen. Aber ich wünsche euch jetzt erst mal, dass alles ganz schnell heilt und es deinem Schatz wieder gut geht.
-
-
Zahnproblem-Jammer-Fred Beitrag #957
Oh ok, danke.
Naja...müssen mal abwarten.
Lea hatte vor 2,5 Jahren OP wegen Forl....sie hat aber alle Fangzähne behalten und sind bis jetzt noch ok.
Wie habt ihr das gemerkt das es nicht geht?
-
-
Zahnproblem-Jammer-Fred Beitrag #958
Die von Bacon sind auch OK, die werden wohl nicht ganz so oft befallen wie zB Backenzähne
-
-
Zahnproblem-Jammer-Fred Beitrag #959
Ja, wurde mir so auch gesagt.
Zählt allerdings nicht für Sera :-/
-
-
Zahnproblem-Jammer-Fred Beitrag #960
Wie habt ihr das gemerkt das es nicht geht?
Bei meinem Kleinen war die Oberlippe dauerhaft offen wund durch den unteren Fangzahn.
Dadurch, dass bei ihm eine beginnende CNE festgestellt wurde, haben wir beim nächsten Mal alle restlichen Zähne kpl. entfernt.
Ich kenne keine Katze, die Forl hat(te) und deren Eckzähne nicht irgendwann auch betroffen waren - leider.
Zuletzt bearbeitet:
Thema:
Zahnproblem-Jammer-Fred