• Wenn dein Tier krank ist oder erscheint, suche bitte immer erst den Tierarzt auf, bevor du hier Rat und Hilfe suchst. Wir alle hier sind Laien, können und dürfen keinen Tierarzt ersetzen oder gar Ferndiagnosen stellen, das wäre unverantwortlich. Erst wenn du die Diagnose eines Tierarztes hast, kannst du hier nach Erfahrungen oder Tipps fragen, die du eventuell für deinen Tierarzt mitnehmen kannst. Bei der Suche nach einem Tierarzt, vor allem Notärzten in der Nacht oder am Wochenende, könnten wir aber behilflich sein.

Habe GROßE ANGST um meinen JEREMY!!!

Diskutiere Habe GROßE ANGST um meinen JEREMY!!! im Besuch beim Tierarzt Forum im Bereich Katzenkrankheiten; Hier die RÖ BILDER
  • Habe GROßE ANGST um meinen JEREMY!!! Beitrag #21
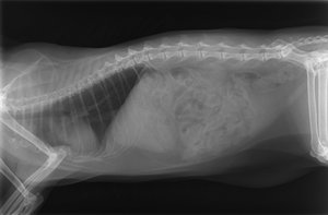
Hier die RÖ BILDER
 

Anhänge

  • JERRE2.jpg
    JERRE2.jpg
    236,7 KB · Aufrufe: 16
  • JERRE3.jpg
    JERRE3.jpg
    252,6 KB · Aufrufe: 17
  • Habe GROßE ANGST um meinen JEREMY!!!

Anzeige

  • Habe GROßE ANGST um meinen JEREMY!!! Beitrag #22
Sind nicht vielleicht auch Tierarzt´s unter uns, denen vielleicht etwas an den Bildern auffällt??
 
  • Habe GROßE ANGST um meinen JEREMY!!! Beitrag #23
Ach du Arme. Ich weiß wie schlimm es ist wenn man garnicht weiß wie man helfen soll. Dein Jerry frißt nochh das ist schonmal gut. Ich drücke weiter die Daumen.
Liebe Grüße Kathi.
 
  • Habe GROßE ANGST um meinen JEREMY!!! Beitrag #24
Es gibt doch Blutbilder, auf denen man so bestimmte Werte sehen kann, die dann eher gegen oder eher für FIP sprechen ... ist sowas denn gemacht worden?

Wenn die Werte da alle ok sind, dann würde ich nicht an FIP denken...

Frisst er denn heute?

KAnn es sein, dass er einfach einen MAgen-Darm-Virus eingefangen hat? wenn er Durchfall hat, lass doch mal eine Kotprobe auf alles untersuchen (Bakterien, PArasiten, Giardien) - aber bitte eine 3-Tage-Kotprobe.

Vielleicht hat Jeremy Giardien oder Würmer oder so was? Im Moment hat er an Krankheitsanzeichen nur Durchfall, oder?
 
  • Habe GROßE ANGST um meinen JEREMY!!! Beitrag #25
Auch wenn ich kein Tierarzt bin, aber die Röntgenbilder sehen gut aus.
Nochmal zusammengefaßt:
Jeremy sucht Wärme,
frißt wenig aber trinkt
kneift die Augen zusammen - aber kein Nickhautvorfall
Fieber wohl nicht mehr
Blutbild kann ich nicht erkennen

Was machen die Zähne? Er ist ja in einem guten Alter. Evtl. Zahnfleischprobleme bzw. vereiterter Zahn? Ist das vom Tierarzt abgecheckt worden?

Hat er Freigang?

Kontakt mit anderen Katzen?

Welche Pflanzen hast Du in der Wohnung?

Wie ist der Toilettengang?
 
  • Habe GROßE ANGST um meinen JEREMY!!! Beitrag #26
Also ich fasse so gut es geht nochmal zusammen:

Er ist sehr ruhig, total verändertes Verhalten (Kein abholen an der Tür, kein schmusen im Bett etc...)
Er liegt viel und kneifft dabei seine Augen zusammen.(Denke an evtl Schmerzzeichen)
Wenn er wach ist läuft er in die Küche und fordert Futter.
Ich stell es ihm hin und er frisst gierig 2-3 Bissen und dann noch 2-3 deutl. langsamer und dann dreht er plötzlich weg.

Zähne sind letztes Jahr gemacht worden unteranderem auch 2 gezogen.
Jetzt sind die Zähne super und auch keine Rötung im gesamten Mundraum.
Habe ich auch getippt und der doc hat alles abgedrückt und JERRE zeigte keine Schmerzäußerung. Ales gut

Er frisst also wenig und trinkt aber.
Fieber habe ich heute nicht gemessen.
Soll aber gleich eh wieder zur Kontrolle zum DOC mit ihm.
Durchfall hatte er 2 Tage während des stationären Auffenthalt, jetzt nicht mehr.
Heute hat er sehr harten und wenig Kot abgesetzt.

Freigänger ist er nicht. Hatte aber bis zum Sommer eine Katzenfreundin, die ist jetzt aber draußen bei uns im Stall und ist jetzt Freigänger.

Blut soll alles in Ordnung sein, bis auf die Albumin und noch ein Eiweiß das Verhältniss soll nicht passen und da sprach die Ärztin von Herzultraschall gestern, dass wir lieber weiter nach FIP oder Coronavieren forschen sollen.

Sein Fell steht an meinchen Stellen etwas ab. Sieht Strähnig aus wie fettig.
Kopf, Nacken, Rücken.

Und etwas matter finde ich nicht mehr ganz so glänzend
 
  • Habe GROßE ANGST um meinen JEREMY!!! Beitrag #27
Hallo Sarah!
Ich habe mir die Beiträge genau durchgelesen und auch die Antworten. Was passierte eigentlich zwischen dem 30.10./erster Tierarztbesuch und dem 8.12/m.E. zweiter Tierarztbesuch? War da wieder alles normal? Ist, bevor die Symptome aufgetaucht sind, irgend etwas gewesen? Und wenn noch so unwesentlich. Denk mal genau nach. Neue Pflanze im Haus, anderes Futter usw. Ich weiß diese Fragen hast Du Dir wahrscheinlich auch schon gestellt, aber vielleicht fällt Dir ja noch etwas ein.
Ich drück Euch ganz ganz fest die Daumen und halt uns bitte auf dem laufenden. LG
 
  • Habe GROßE ANGST um meinen JEREMY!!! Beitrag #28
Das Augen zusammenkneifen und zurückziehen und wenig fressen ist schon ein Zeichen für Schmerzen.
Hat Tierarzt auf Rheuma,Gicht und vor Allem auf Athrose an den Gelenken geschaut? Ich sehe nur Wirbelsäulenbilder?
Was ist mit Schmerzmittel für ihn?
 
  • Habe GROßE ANGST um meinen JEREMY!!! Beitrag #29
Ach man....
gestern wieder beim Tierarzt gewesen.
Haben wieder Blutabgenommen. Doc wollte den FiP Titer bestimmen lassen, da ich unter anderem hier gelesen habe, dass dies einem unterm Strich überhaupt nicht weiterbringt, wollte ich das JERRE´S Blut nach Laborklin geschickt wird, da soll es einen neuen FIP-TEST geben, der FIP und nicht den CORONA TITER bestimmt.
Ich hoffe ich habe das hier nicht falsch verstanden, denn mein DOC wusste nix von einer neuen Untersuchungsmethode von laboklin.

Er ist mittlerweile davon überzeugt, das es eine VIRUSINFEKTION ist.FIP FeV....oder irgendetwas in dieser ART...

Seine Temperatur war gestern 39,4 und heute morgen 39,6
Mal hat er eine trockene Nase und mal etwas schnupfig....

Sein RC Gastro will er gar nicht mehr. Gestern Abend habe ich im einen Beutel Wh.....
gegeben und die hat er komplett gefressen und heute morgen auch nur ca 10g...
Ich denke JERRE hat wirklich Schmerzen... gerade beim Fiebermessen hat er sehr gebrummt und heftig protestiert mit Schwanzschlagen...

Wenn ich ehrlich bin glaube ich das JERRE jetzt verstopft ist...

Der Doc hat gesagt ich soll 3mal täglich messen....
Gestern habe ich dem Doc noch einen von JERRES harten Kotbrocken gegeben, er wollte auf Würmer und ganglien oder so ähnlich testen....

Ich muss so ehrlich sein und zugeben, dass ich nachdem gestern hier bei uns auf dem Hof auch noch ein PONY eingeschläfert wurde....meine Hoffnung immer mehr schwindet...
Ich sehe das JEREMY Schmerzen hat, ich kenn ihn ja.... und ich möchte ihn auch auf gar keinen Fall verlieren, aber ....er hat es nach treuen mehr als 13 Jahren nicht verdient hier bei mir unter Schmerzen zu sterben....
Ich würde alles dafür tun, dass er wieder gesund wird...

Nein Rheuma , Gicht und Arthrose ist nicht abgeklärt, ....ich denke der DOC hat sich wie gesagt auf VIRUS eingeschossen

Doc will kein Schmerzmittel geben, da das das Fieber senken würde und JERRE soll fiebern
 
  • Habe GROßE ANGST um meinen JEREMY!!! Beitrag #30
So sieht mein KÖNIGSTIGER aus...Gesund wäre er noch viel schöner!!!!
 

Anhänge

  • Jeremy.jpg
    Jeremy.jpg
    84,4 KB · Aufrufe: 9
  • Jeremy krank3.png
    Jeremy krank3.png
    833,5 KB · Aufrufe: 7
  • Jeremy krank2.png
    Jeremy krank2.png
    931,6 KB · Aufrufe: 10
  • Habe GROßE ANGST um meinen JEREMY!!! Beitrag #31
Dort vor dem Schrank haben wir die besagte Fußbodenheizung! Sonst in keinem anderem Raum
 
  • Habe GROßE ANGST um meinen JEREMY!!! Beitrag #32
Jeremy ist wieder stationär!!
Ihm wird heute eine kurz Narkose gegeben
Und dann Wasser aus dem Bauch gezogen.

Wir haben nochmal geröntgt und da war was
Komisches wie der DOC sagt, im/am Darm!

Vielleicht ein Tumor
Heute Abend ruft mich der DOC an und sagt
Was die Punktion ergeben hat und vielleicht
Ist das blutergebnis von laboklin auch da!!!
Drückt bitte wieder alle Daumen!!!!

Eure Sarah&JEREMY
 
  • Habe GROßE ANGST um meinen JEREMY!!! Beitrag #33
Der arme Jeremy kommt aber garnicht zur Ruhe. Er tut mir so leid. Hier werden ganz fest die Daumen gedrückt. Ich wünsche euch alles Glück der Welt.
Lieben Gruß Kathi.
 
  • Habe GROßE ANGST um meinen JEREMY!!! Beitrag #34
Ich drücke ganz fest die daumen!
 
  • Habe GROßE ANGST um meinen JEREMY!!! Beitrag #35
Daumen sind weiter ganz fest gedrückt !!!
 
  • Habe GROßE ANGST um meinen JEREMY!!! Beitrag #36
hallo Sarah,
habe die geschichte mit deinem Jeremy mitverfolgt und kann deine Panik voll und ganz nachvollziehen. Ich weiss aus eigener Erfahrung wie schwer es ist rational und ruhig zu bleiben wenn es dem eigenen Tier so schlecht geht und man völlig hilflos scheint.
Du hast geschrieben, dass dein Jeremy punktiert wurde?! hat dein Tierarzt eine sog.Rivalta Probe mit diesem Punktat gemacht? Damit kann man feststellen ob eine FIP Infektion vorliegt oder nicht.

Bei der Rivaltaprobe wird durch Punktion Flüssigkeit des Ergusses aus der Bauchhöhle entnommen; da es sich bei dem Punktat bei FIP um eine eiweißreiche Flüssigkeit handelt, fällt dieser Test bei FIP fast immer positiv aus.
Die Rivaltaprobe ist ein einfacher Test zur Unterscheidung von Transsudat (zell- und eiweißarme Flüssigkeit nicht-entzündlichen Ursprungs) und Exsudat (einer bei Entzündung aus den Gefässen austretende, eiweißreiche Flüssigkeit).
Durch Einbringen eines Tropfens des Punktats in eine verdünnte Essigsäurelösung ergibt sich bei einem Exsudat eine schleierartige Trübung, wohingegen beim Transsudat eine vollständige Lösung erfolgt.



Mein Kater hatte vor ca 7 Jahren auch eine schwere Virusinfektion. Antibiotika und Cortison brachten nur kurzfristige Erfolge. Er fraß nur sporadisch und eindeutig zu wenig. Habe mich dann irgendwann dazu entschlossen in assistenz zu füttern. Da ich den Eindruck hatte das ihn Übelkeit plagte und er deswegen einfach nicht fraß obwohl er eigentlich Hunger hatte, bekam er regelmäßig noch einen Brei aus SEB ( Slippery Elm Bark). Beim Tierarzt hatte ich mir damals hochkalorisches Nassfutter besorgt und ihm dieses mit Hilfe einer grossen Spritze verabreicht. Wir hatten beide wirklich "wenig Spass" daran. Ich habe sehr häufig darüber nachgedacht ob ich ihm mit der ganzen Prozedur überhaupt einen Gefallen tue. Heute 7 Jahre später stellt sich diese Frage für mich natürlich nicht mehr. Als letzte Therapiemöglichkeit schlug uns damals unsere TÄ die Gabe von Interferon vor. Ich weiss nicht mehr genau wieviele Spritzen mein Jerry damals bekam aber es scheint ihm geholfen zu haben. Ich bin mir nicht sicher ob ich heute nochmal diese Therapie machen würde, zumal Interferon nicht ganz unproblematisch scheint ( anaphylaktische Reaktionen ). Aber wenn man verzweifelt ist versucht man alles was irgendwie Erfolg verspricht.

Heute versuche ich die Gabe von Cortison bei all meinen Katzen möglichst immer zu vermeiden und arbeite dann lieber mit einem klass. Homöopathen zusammen.

Um den Appetit deiner Katze anzuregen kann man auch tgl. 1/3 Kpsl. Vitamin B Complex( Rathiopharm) ins Futter geben oder ihm direkt in etwas Wasser gelöst ins Mäulchen geben.
Man kann B-Vitamine nicht überdosieren, sie sind wasserlöslich und ein Überschuss wird über die Nieren wieder ausgeschieden.

Liebe Sarah, auch wenn es deinem Jeremy momentan schlecht geht, gib niemals die Hoffnung auf. Lass deinen Kater deine Angst nicht spüren so schwer das auch ist.

Ich drück dir und deinem Schatz ganz fest die Daumen.
Lg,tina
 
  • Habe GROßE ANGST um meinen JEREMY!!! Beitrag #37
Wie gehts denn Jeremy heute abend?
 
  • Habe GROßE ANGST um meinen JEREMY!!! Beitrag #38
Hallo zusammen!!

Danke Tina für Deine mutmachenden Worte!
Du kommst aus Bochum, hast du dort einen Homöopaten für Katzen??
Hier kenne ich keinen der nur Katzen behandelt und Bochum ist nicht weit weg für mich.

Jeremy wurde punktiert, nur hat der arme jetzt ein Loch im Bauch und der Doc konnte keine Gewebeflüssigkeit gewinnen.
Heißt, ...wir haben immernoch keine Diagnose, aber JERRE jetzt zusätzlich ein Loch im Bauch...

Er soll über das WE stationär bleiben, damit er tägl eine Infusion mit Nährstoffen bekommen kann damit er mal wieder richtig zu kräften kommt hat der Arzt gesagt.

Gleich kann ich wieder anrufen und mich nach meinem Königstiger erkundigen...

So gerade wieder mit dem Tierarzt telefoniert!

Jeremy gehts soweit wohl ganz gut. Was auch immer das heißen mag wenn immernoch keine Diagnose da ist.
Ich habe gefragt, ob ich ihn dann nicht abholen kann?! Er meinte man kann nicht sagen das er gut frisst und es bringt nix wenn ich jeden Abend mit ihm in die Praxis komme, wenn ich sehe es geht ihm wieder schlechter.
Dann hat er ihn lieber in der Praxis und er kann agieren und es wäre dadurch auch einfacher für ihn.
Verstehe ich ja auch....aber ich soll morgen 9Uhr anrufen und er möchte ihn mir über Weihnachten mitgeben.....das hört sich auch komisch an, oder?

Ich weiß nicht, ....ich hoffe Montag ist das Ergebnis von Laboklin da!!!

ACH BEVOR ICH ES VERGESSE:


Das KOMISCHE auf dem Röntgenbild, war KOT und kein Tumor!!
 
  • Habe GROßE ANGST um meinen JEREMY!!! Beitrag #39
Hallo Sarah,
na das ist doch schon mal erfreulich das der Tierarzt kein Punktat gewinnen konnte. Keine Angst, der Kleine hat kein Loch im Bauch, das verschliesst sich innerhalb kürzester Zeit von selber wieder.
Ich bin momentan selber mit meinem 17 Jahre alten Jerry zusätzlich in Tierheilpraktischer Behandlung. Habe die Adresse von meinem Tierarzt bekommen, da ich zusätzlich zu seiner Herzproblematik noch zusätzlich seine Nieren homöopathisch angehen wollte.
Hier ist der Link
Ich hoffe das ist ok wenn ich den hier angebe?!
Lass dich von dem ungewöhnlichen Ambiente nicht abschrecken. Frau Reuber hat sich wirklich viel Zeit genommen für die Anamnese, war sehr einfühlsam und hat auf Nachfragen sehr nett reagiert und erklärt.Wichtig ist das man einen Termin vereinbart da es ansonsten sehr hektisch zugehen kann, da sie parallel zu ihrer Tierheilpraktischen Arbeit noch ein Ladengeschäft mit Tierbedarf betreibt. Ich habe schon einiges an Erfahrung mit TÄ's und Homöopathen gemacht und denke, wenn man der "Sache" gegenüber aufgeschlossen ist, ist man dort sicherlich sehr gut aufgehoben.
Lass mal weiter von dir hören wie es deinem Kleinen so geht.
Lass den Kopf nicht hängen ich drücke euch weiterhin die Daumen.
Dir und den Deinen noch ein paar schöne, stressfreie Weihnachtsfeiertage.
Liebe Grüße,
Martina
 
  • Habe GROßE ANGST um meinen JEREMY!!! Beitrag #40
So, mein Königstieger ist wieder ZUhause!!!

Es geht ihm deutlich schlechter als vor dem stationären Auffenthalt!!
Der Tierarzt meinte bei Ihm frisst er nur sehr sehr wenig.

Als ich ihm aus seinem Körbchen gelassen habe, ging er sofort zu seinem Futterplatz und ich habe ihm ein 100g Tütchen gegeben und davon hat er sofort ca.50g gefressen!

Danach wollte er sofort auf die Toilette, aber er hat mehrmals versucht Kot abzusetzen, aber es ging nicht!! Er ging sogar in andere Räume und hat versucht überall Kot abzusetzen, aber ging nicht, auch nicht unter starken pressen.

Habe ihn also keine 30min nach Ankunft wieder eingepackt und bin zu einem Tierarzt hier um die Ecke gefahren, da ja heute Heiligabend ist und alle um 12Uhr Feierabend machen.

Die Tierärztin dort hat ihm Kohsalz infundiert unter die Haut, ein entkrampfendes Mittel gespritzt und ein Einlauf hat er bekommen.

Kaum zuhause hat er 2 ca 3cm harte Kotbrocken abgesetzt, aber mehr nicht!
Aber im Moment scheint er weniger schmerzen zu haben.

Es geht ihm aber Sau schlecht! Er pumpt ganz kräftig bei der Atmung und wenn ich über sein deutl dickeren Bauch schreichle schlägt er mit seinem Schwanz heftig!

Ich habe gerade nochmal mit dem Tierarzt gesprochen wo er stationär war und ihm gesagt, dass ich nicht glaube das Jeremy so wie er sich hier für mich zeigt bis Donnerstag wenn das FIP Ergebnis da ist, noch leben wird.
Entweder morgen Not-OP oder Jeremy wird es nicht überleben!

Er sieht aber keinen Grund ihn aufzumachen, da das Bauchsono unauffällig war.
Wenn er eine Chance haben soll sagte er, dann muss es halt anders laufen, als ihn aufzumachen, da das ihn noch mehr schwächt!

Ich weiß nicht, wenn es doch was anderes ist, stirbt er hier und nur weil Laboklin Weihnachten feiert und nicht auf Eilaufträge reagiert!!

Ich versteh einfach nicht, warum der DOC patu auf das Ergebnis warten will???
 
Thema:

Habe GROßE ANGST um meinen JEREMY!!!

Habe GROßE ANGST um meinen JEREMY!!! - Ähnliche Themen

Haaranalyse sinnvoll oder nicht ?: Ich wollte mal ins Runde frage ob hier jemand mit Haaranalyse bezüglich Futtermittelallergie Erfahrungen hat und wie sinnig das ist. Hab mich...
Durchfall mit hellem Blut: Hallo ihr Lieben. Ich bin schon ein wenig verzweifelt. Unser Neuzugang stormy (12 Wochen) hat seit er bei uns ist Durchfall (schon bevor er auf...
Ich weiß nicht mehr weiter...: Hallo zusammen, diese Woche macht meine arme Katze (w, Alter ca. 11-13) ganz schön was mit und ich weiß langsam nicht mehr weiter. Da sich das...
Katze Blasenentzündung und Magenschleimhautentzündung, brauchen dringend Hilfe!: Hallo miteinander, ich bin ja nicht so oft online, heute muss ich mich aber mal an die Gemeinde hier wenden. Es geht um meine ältere Katzendame...
DRINGEND Schilddrüsenüberfunktion - Hilfe Katze frisst nicht bzw. kaum etwas !: Hallo Ich hoffe, ich bin hier am richtigen Ort, sonst bitte verschieben. Meine Katze frisst schon seit ca 1 Monat ziemlich mäkelig, frass aber...
Oben Unten